This is an online E log book to discuss our patient's de-identified health data shared after taking his/her/guardian's signed informed consent.Here we discuss our individual patient's problems through series of inputs from available global online community of experts with an aim to solve those patient's clinical problems with collective current best evidence based inputs". This E log book also reflects my patient-centred online learning portfolio and your valuable comments on comment box is welcome.
I've been given this case to solve in an attempt to understand the topic of "patient clinical data analysis" to develop my competency in reading and comprehending clinical data including history, clinical findings, investigations and come up with a diagnosis and treatment plan.
Name :- kattekola sathwik
Roll no:- 75
Case report
27 yr old male presented to casuality with c/o giddiness 6hrs ago ,
Right UL and LL weakness since 6 hrs
Deviation Of angle of Mouth to left
Slurring of speech since 6 hrs
History of Presenting illness :-
Patient is apparently asymptomatic 6hours ago while he was driving Tractor hehad 2 episodes of Giddiness following that he developed Right Upper And Lower Limb weakness, sudden in Onset ,Non Progressive,Unable to lift the hand Above the level of head. Deviation Of angle of mouth to Left side
Slurring Of speech since 6 hrs.No H/O of Trauma, falls.No H/O Uprolling of Eyeball,involuntary Micturition, defecation
Past History
K/c/o Seizure Disorder since 20 yrs not on medication (Last Episode:- 10 yrs ago
N/K/C/O DM,HTN, CAD,CVA,Asthma,TB, Epilepsy
Personal History
Known alcoholic consumes Alcohol Daily - 180mL
No family History
O/E
Pt is C/C/C
No pallor, icterus, cyanosis, Clubbing, Lymphadenopathy,pedal edema
Temp:- 96.8F
PR:-122bpm
RR:-18 cpm
BP:- 200/140 mmHg
SPo2 :-98%on RA
GRBS:-104mg%
CVS :- S1s2+
RS:- NVBS
PA :- Soft NT
CNS
HMF- Intact
No signs s/o Meningeal irritation
Cranial Nerves:- Normal
Sensory System :- Decreased Fine touch in Right Side below Knee
Motor system :-
RT LT
Tone UL hypo normal
LL hypo normal
Power RT LT
UL 3/5 5/5
LL 4/5 5/5
Reflexes RT LT
B - 1+
T - -
S - -
K - 1+
A - -
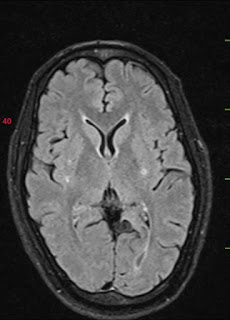
Investigations
CUE










.jpg)
.jpg)

Comments
Post a Comment